Dental Bonding: A Conservative Treatment to Repair and Enhance Your Smile
Dr. Joseph P. Fusco uses dental bonding as a conservative alternative to dental crowns or veneers, which can be more costly, permanent procedures. This versatile restorative and cosmetic treatment can conceal surface flaws and discoloration to give you a strong and aesthetic smile. Dr. Fusco meets with each of our patients at our Long Island, NY, office to discuss their treatment goals and provide the most personalized care possible. He can work with you to design the smile you have always wanted.
What Is Dental Bonding?
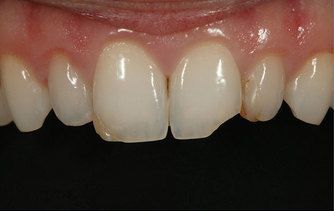
Unlike other procedures that use porcelain and other more expensive materials, dental bonding uses cost-effective composite resin. The resin is strong and tooth-colored, so patients can still reap the benefits of a natural-looking treatment at an affordable cost. Dental bonding can be used to repair minor chips and breaks in teeth, as well as cover cracks. This procedure can also conceal dark stains that do not respond to professional teeth whitening, as well as gaps between teeth and other minor orthodontic concerns.
How Is the Procedure Performed?
The dental bonding process, unlike other methods, can take only one appointment to complete. After marking the particular teeth that will benefit from bonding, Dr. Fusco may apply a gentle, acidic solution to lightly etch the surface of each tooth. This process can enhance the bond with the resin to ensure longer-lasting results.
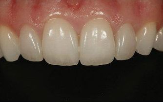
Once your tooth is ready, Dr. Fusco will select a shade of composite resin that closely matches your natural tooth color so your bonded teeth blend with the rest of your smile. He can then begin applying the resin in layers to repair minor damage, conceal imperfections, or fill in gaps. He will hold a specialized curing light over each layer to harden the material. After the resin has hardened, Dr. Fusco will check your bite and make any necessary adjustments. When all changes have been made to meet your satisfaction and comfort, he will polish the resin for a lifelike shine. In a single office visit, you can achieve a completely transformed smile.
Dental bonding does not require any alteration, so the entirety of your healthy tooth structure remains in tact. This treatment can add strength and structure damaged teeth while providing results that are very aesthetic and durable.
Benefits of this Conservative and Personalized Treatment
Dr. Fusco provides each of our patients with personalized treatment and care. Every procedure he performs is tailored to achieve your unique goals. He frequently recommends this conservative treatment as a less-invasive alternative to dental crowns and porcelain veneers. Both dental crowns and veneers require extensive alteration of otherwise healthy teeth, which cannot be reversed. Dental bonding does not require any alteration, so the entirety of your healthy tooth structure remains intact. This treatment can also add strength and structure damaged teeth while providing results that are very aesthetic and durable.
Strengthen and Refine Your Smile
If you are interested in improving your smile, contact our office online or call (516) 766-6767 to schedule a consultation with Dr. Fusco. Our office staff is happy to discuss all your financing concerns to help you achieve the smile you have always wanted. We accept CareCredit financing to help patients cover the cost of cosmetic bonding that insurance usually does not cover.



